Papers by ΕΙΡΗΝΗ ΛΥΚΟΥ-ΧΑΪΔΗ
Τα τελευταία χρόνια υπάρχει αυξημένο ενδιαφέρον για τα άτομα στο φάσμα του αυτισμού όσον αφορά τη... more Τα τελευταία χρόνια υπάρχει αυξημένο ενδιαφέρον για τα άτομα στο φάσμα του αυτισμού όσον αφορά την έκφραση και κατανόηση των συναισθημάτων. Στόχος της παρούσας εργασίας είναι μέσα από μια βιβλιογραφική ανασκόπηση: α) να σκιαγραφήσει τη συναισθηματική ανάπτυξη και εκπαίδευση των ατόμων στο φάσμα του αυτισμού β) να παρουσιάσει τα ευρήματα ερευνών γ) να παρουσιάσει και να θέσει καίριους προβληματισμούς σχετικά με τη συναισθηματική νοημοσύνη των παιδιών στο φάσμα του αυτισμού δ) να θέσει ερωτήματα για τη ανάπτυξη εκπαιδευτικών μεθόδων με στόχο την ενδυνάμωση της συναισθηματικής ανάπτυξης των ατόμων στο φάσμα του αυτισμού και κατά συνέπεια και την ανάπτυξη των κοινωνικοσυναισθηματικών τους δεξιοτήτων.
The 'Reading the Mind in the Voice'test-revised: a study of complex emotion recognition in adults with and without autism spectrum conditions
Journal of autism and …, Jan 1, 2007

Executive functioning and theory of mind in children clinically referred for attention and behavior problems
Journal of Applied Developmental Psychology, Jan 1, 2003
The present study examined the interrelations of the theory of mind (ToM), executive functioning,... more The present study examined the interrelations of the theory of mind (ToM), executive functioning, and social problems in children referred to an outpatient clinic for attention and behavior problems. ToM tasks consisted of mistaken identity and contents tasks, two versions of unintended transfer tasks, and an emotional false-belief task. Attention problems were assessed using parent and teacher reports of behavior and child omission errors on the Continuous Performance Test (CPT). Auditory working memory was assessed using two subtests of the Woodcock–Johnson Psycho-Educational Battery—Revised. Impulsivity was assessed using parent and teacher reports of behavior, the Dimensional Change Card Sort (DCCS), commission errors on the CPT, and Luria's Hand Game (LHG). Controlling for age, language, and socioeconomic status (SES), ToM was significantly related to aggregate scores for attention problems, memory, impulsivity, and an overall executive functioning aggregate of all three components. In addition, parent and teacher ratings of social problems were negatively related to both ToM and overall executive functioning. Executive functioning and ToM may be indicators of metacognitive deficits that underlie social problems in clinical samples of children with disruptive behavior and attention problems.

Developmental Science, Jan 1, 1998
In this paper we shall argue that mentalistic action explanations, which form an essential compon... more In this paper we shall argue that mentalistic action explanations, which form an essential component of a mature theory of mind, are conceptually and developmentally derived from an earlier and purely teleological interpretational system present in infancy. First we summarize our evidence demonstrating teleological action explanations in one-year-olds. Then we shall briefly contrast the structure of teleological vs. causal mentalistic action explanations and outline four logical possibilities concerning the nature of the developmental relationship between them. We shall argue for the view that causal mentalistic action explanations are constructed as useful theoretical extensions of the earlier, purely teleological, nonmentalistic interpretational stance. Q: Why did the chicken cross the road? A1: To get to the other side. A2: It wanted to be on the other side.

Executive function abilities in autism and Tourette syndrome: An information processing approach
Journal of child …, Jan 1, 1994
This study used information processing paradigms to provide a detailed examination of executive f... more This study used information processing paradigms to provide a detailed examination of executive function abilities in autism. The performance of non-retarded autistic children was compared with that of two matched control groups, one with Tourette Syndrome and the other developmentally normal. Autistic subjects performed as well as controls on tasks requiring global-local processing and inhibition of neutral responses. In contrast to both control groups, however, the autistic sample was significantly impaired on a measure of cognitive flexibility. The performance of children with Tourette Syndrome did not differ from that of normal controls on any task. These results refine our knowledge about executive dysfunction in autism and suggest a new conceptual framework and general method for investigating the cognitive underpinnings of neurodevelopmental disorders.

… of the Royal …, Jan 1, 2003
Systemizing is the drive to analyse systems or construct systems. A recent model of psychological... more Systemizing is the drive to analyse systems or construct systems. A recent model of psychological sex differences suggests that this is a major dimension in which the sexes differ, with males being more drawn to systemize than females. Currently, there are no self-report measures to assess this important dimension. A second major dimension of sex differences is empathizing (the drive to identify mental states and respond to these with an appropriate emotion). Previous studies find females score higher on empathy measures. We report a new self-report questionnaire, the Systemizing Quotient (SQ), for use with adults of normal intelligence. It contains 40 systemizing items and 20 control items. On each systemizing item, a person can score 2, 1 or 0, so the SQ has a maximum score of 80 and a minimum of zero. In Study 1, we measured the SQ of n = 278 adults (114 males, 164 females) from a general population, to test for predicted sex differences (male superiority) in systemizing. All subjects were also given the Empathy Quotient (EQ) to test if previous reports of female superiority would be replicated. In Study 2 we employed the SQ and the EQ with n = 47 adults (33 males, 14 females) with Asperger syndrome (AS) or highfunctioning autism (HFA), who are predicted to be either normal or superior at systemizing, but impaired at empathizing. Their scores were compared with n = 47 matched adults from the general population in Study 1. In Study 1, as predicted, normal adult males scored significantly higher than females on the SQ and significantly lower on the EQ. In Study 2, again as predicted, adults with AS/HFA scored significantly higher on the SQ than matched controls, and significantly lower on the EQ than matched controls. The SQ reveals both a sex difference in systemizing in the general population and an unusually strong drive to systemize in AS/HFA. These results are discussed in relation to two linked theories: the 'empathizingsystemizing' (E-S) theory of sex differences and the extreme male brain (EMB) theory of autism.
Interactive multimedia systems for students with autism
Journal of Educational Media, Jan 1, 2000
... then becomes one of evaluating for satisfactory engagement with the software by the ... and M... more ... then becomes one of evaluating for satisfactory engagement with the software by the ... and Murray (1997) that the educational, and in particular auto didactic, possibilities are ... Computer-Based Simulations in the Education and Assessment of Autistic Children, in: Rethinking the ...

Journal of Autism and Developmental Disorders, Jan 1, 1997
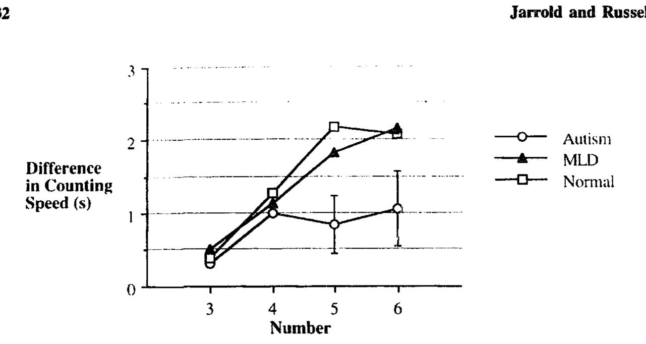
We examined the claim that children with autism have a "weak drive for central coherence" which b... more We examined the claim that children with autism have a "weak drive for central coherence" which biases them towards processing information at an analytic rather than global level. This was done by investigating whether children with autism would rapidly and automatically enumerate a number of dots presented in a canonical form, or count each dot individually to obtain the total. The time taken to count stimuli was compared across three participant groups: children with autism, children with moderate learning difficulties, and normally developing children. There were 22 children in each group, and individuals were matched across groups on the basis of verbal mental age. Results implied that children with autism did show a tendency towards an analytic level of processing. However, though the groups differed on measures of counting speeds, the number or children showing patterns of global or analytic processing did not differ significantly across the groups. Whether these results implicate a weak drive for central coherence in autism, which is both specific to, and pervasive in the disorder, is discussed.
Using video modeling to teach perspective taking to children with autism
Journal of Positive Behavior …, Jan 1, 2003
... Marjorie H. Charlop-Christy Claremont McKenna College Sabrina Daneshvar Claremont Graduate Un... more ... Marjorie H. Charlop-Christy Claremont McKenna College Sabrina Daneshvar Claremont Graduate University 12 ... The BarneyTM and Bugs BunnyTM task (similar to the SallyAnne task) was used as both a pretest and a posttest. ...

Neuroreport, Jan 1, 1999
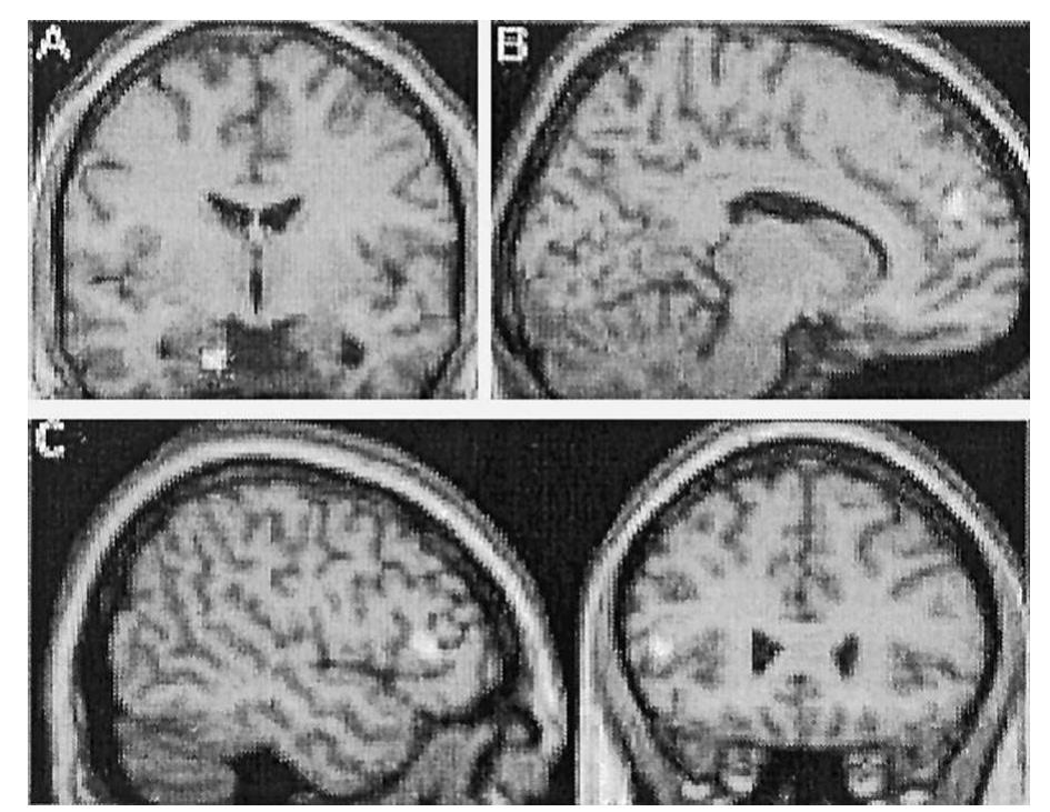
AUTISM is a biological disorder which affects social cognition, and understanding brain abnormali... more AUTISM is a biological disorder which affects social cognition, and understanding brain abnormalities of the former will elucidate the brain basis of the latter. We report structural MRI data on 15 high-functioning individuals with autistic disorder. A voxel-based whole brain analysis identi®ed grey matter differences in an amygdala centered system relative to 15 age-and IQmatched controls. Decreases of grey matter were found in anterior parts of this system (right paracingulate sulcus, left inferior frontal gyrus). Increases were found in posterior parts (amygdala/peri-amygdaloid cortex, middle temporal gyrus, inferior temporal gyrus), and in regions of the cerebellum. These structures are implicated in social cognition by animal, imaging and histopathological studies. This study therefore provides converging evidence of the physiological basis of social cognition.
Journal of Child …, Jan 1, 1998
The role of control functions in mentalizing: Dual-task studies of Theory of Mind and executive function
Cognition, Jan 1, 2008

Cognition, Jan 1, 2003
By 6 years, children have a sophisticated adult-like theory of mind that enables them not only to... more By 6 years, children have a sophisticated adult-like theory of mind that enables them not only to understand the actions of social agents in terms of underlying mental states, but also to distinguish between their own mental states and those of others. Despite this, we argue that even adults do not reliably use this sophisticated ability for the very purpose for which it is designed, to interpret the actions of others. In Experiment 1, a person who played the role of "director" in a communication game instructed a participant to move certain objects around in a grid. Before receiving instructions, participants hid an object in a bag, such that they but not the director would know its identity. Occasionally, the descriptions that the director used to refer to a mutually-visible object more closely matched the identity of the object hidden in the bag. Although they clearly knew that the director did not know the identity of the hidden object, they often took it as the referent of the director's description, sometimes even attempting to comply with the instruction by actually moving the bag itself. In Experiment 2 this occurred even when the participants believed that the director had a false belief about the identity of the hidden object, i.e. that she thought that a different object was in the bag. These results show a stark dissociation between an ability to reflectively distinguish one's own beliefs from others', and the routine deployment of this ability in interpreting the actions of others. We propose that this dissociation indicates that important elements of the adult's theory of mind are not fully incorporated into the human comprehension system. q
Annals of the New York Academy of …, Jan 1, 2009
The mind-blindness theory of autism spectrum conditions has been successful in explaining the soc... more The mind-blindness theory of autism spectrum conditions has been successful in explaining the social and communication difficulties that characterize these conditions but cannot explain the nonsocial features (the narrow interests, need for sameness, and attention to detail). A new theory, the empathizing-systemizing (E-S) theory, is summarized, which argues two factors are needed to explain the social and nonsocial features of the condition. This is related to other cognitive theories such as the weak central coherence theory and the executive dysfunction theory. The E-S theory is also extended to the extreme male brain theory as a way of understanding the biased sex ratio in autism. Etiological predictions are discussed, as are the clinical applications arising from the E-S theory.

Brain, Jan 1, 2001
There have been recent suggestions that the amygdala passing 16 tests assessing his ability to in... more There have been recent suggestions that the amygdala passing 16 tests assessing his ability to inhibit dominant responses, create and maintain goal-related behaviours, may be involved in the development or mediation of 'theory of mind'. We report a patient, B.M., with early and temporally sequence behaviour. The findings are discussed with reference to models regarding the role of or congenital left amygdala damage who, by adulthood, had received the psychiatric diagnoses of schizophrenia the amygdala in the development of theory of mind and the degree of dissociation between theory of mind and and Asperger's syndrome. We conducted a series of experimental investigations to determine B.M.'s cognitive executive functioning. We conclude that theory of mind is not simply a function of more general executive functioning. In line with his diagnoses, B.M. was found to be severely impaired in his ability to represent mental functions, and that executive functions can develop and function on-line, independently of theory of mind. states. Following this, we conducted a second series of studies to determine B.M.'s executive functioning. In the Moreover, we conclude that the amygdala may play some role in the development of the circuitry mediating theory literature, there have been frequent claims that theory of mind is mediated by general executive functioning. B.M. of mind. showed no indication of executive function impairment, Keywords: amygdala; theory of mind; executive functions Abbreviations: fMRI ϭ functional MRI; WAIS-R ϭ Wechsler Adult Intelligence Scale-revised

Neuroimage, Jan 1, 2002
The "intentional stance" is the disposition to treat an entity as a rational agent, possessing pa... more The "intentional stance" is the disposition to treat an entity as a rational agent, possessing particular beliefs, desires, and intentions, in order to interpret and predict it's behavior. The intentional stance is a component of a broader social cognitive function, mentalizing. Here we report a study that investigates the neural substrates of "on-line" mentalizing, using PET, by asking volunteers to second-guess an opponent. In order to identify brain activity specifically associated with adoption of an intentional stance, we used a paradigm that allowed tight control of other cognitive demands. Volunteers played a computerised version of the children's game "stone, paper, scissors." In the mentalizing condition volunteers believed they were playing against the experimenter. In the comparison condition, volunteers believed they were playing against a computer. In fact, during the actual scanning, the "opponent" produced a random sequence in both conditions. The only difference was the attitude, or stance, adopted by the volunteer. Only one region was more active when volunteers adopted the intentional stance. This was in anterior paracingulate cortex (bilaterally). This region has been activated in a number of previous studies involving mentalizing. However, this is the first study suggesting a specific link between activity in this brain region and the adoption of an intentional stance. © 2002 Elsevier Science (USA)

Cognitive development: Children's knowledge about the mind
Annual review of psychology, Jan 1, 1999
This chapter reviews theory and research on the development of children's knowledge about... more This chapter reviews theory and research on the development of children's knowledge about the mental world, focusing especially on work done during the past 15 years under the rubric of theory-of-mind development. The three principal approaches to explaining this development--theory theory, modular theory, and simulation theory--are described first. Next comes a description of infant precursors or protoforms of theory-of-mind knowledge in infancy, including a beginning awareness of the intentionality and goal-directedness of human actions. This discussion is followed by a summary of the postinfancy development of children's understanding of visual perception, attention, desires, emotions, intentions, beliefs, knowledge, pretense, and thinking. Briefly considered next are intracultural, intercultural, and interspecies differences in theory-of-mind development. The chapter then concludes with some guesses about the future of the field.
Uploads
Papers by ΕΙΡΗΝΗ ΛΥΚΟΥ-ΧΑΪΔΗ